Deprecated: Creation of dynamic property FusionSC_Column::$is_nested is deprecated in /www/htdocs/w0194689/weiterbildungen-dentale-fotografie.de/wp-content/plugins/fusion-builder/inc/class-fusion-column-element.php on line 528
Deprecated: Creation of dynamic property FusionSC_FusionText::$params is deprecated in /www/htdocs/w0194689/weiterbildungen-dentale-fotografie.de/wp-content/plugins/fusion-builder/shortcodes/fusion-text.php on line 126
Warum Sie sich mit dentaler Fotografie beschäftigen sollten:
Visualisierung von Behandlungsergebnissen (Vorher-Nachher-Show)
Optimierte Verlaufskontrolle von Schleimhautveränderungen
Erhöhung der Patientencompliance
Top Vortragsmaterial für Weiterbildungen
Visualisierte Beratung
Ideale Kommunikation mit dem Labor
Trailer zum Videokurs Grundlagen der dentalen Fotografie
Videokurs Grundlagen der dentalen Fotografie
€200
- Zertifikat für 6 CME-Punkte
- ~ 2½ Stunden Videomaterial
- ~ 40 Seiten Workbook
- Grundlagen der dentalen Fotografie
- Fortgeschrittenentechniken
- Schritt für Schritt Anleitung für schnelle Erfolge
- Bildverwaltung und -bearbeitung
- Einführung in dentale Produktfotografie inklusive
Nach Zahlungseingang erhalten Sie einen Downloadlink, über den Sie sich die Kursinhalte runterladen können.
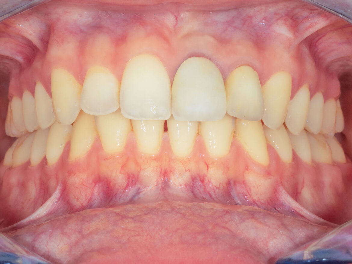
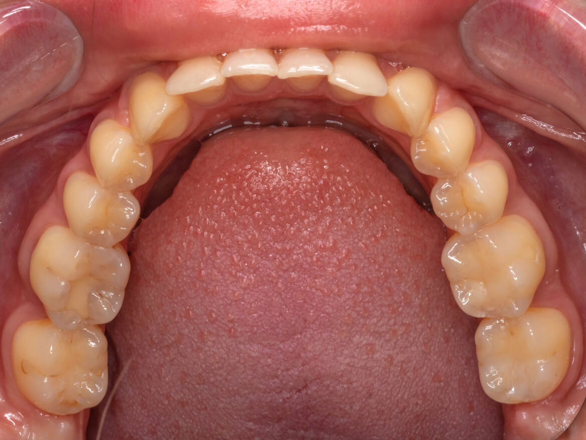
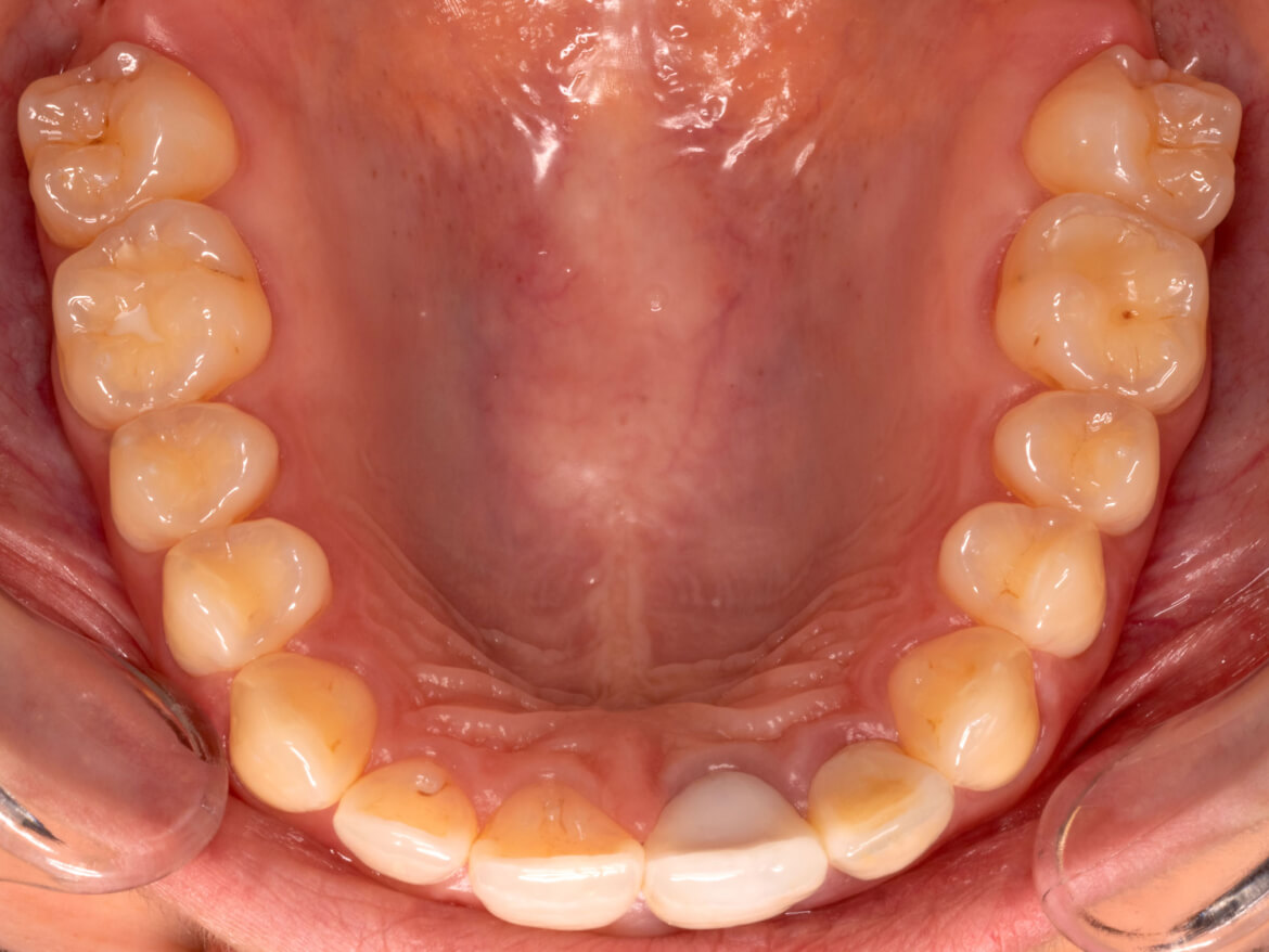
Dentale Fotografie: Herausforderungen

Bei dentaler Fotografie muss man auf vieles gleichzeitig achten, vor allem, wenn noch Spiegel, Blitze und andere Hilfsmittel zum Einsatz kommen. Ein gutes technisches Verständnis über das Kameraequipment hilft sehr, um sich auf das Wesentliche konzentrieren zu können.
Bei Fragen treten Sie gern unverbindlich mit uns in Kontakt











